症例:審美歯科治療
1本だけのホワイトニング(ウォーキングブリーチ) | 審美歯科 東京 : 20歳代 女性
※患者様のご厚意でご紹介させて頂いております。
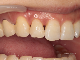
ホワイトニング#001
|
治療前 |
治療後 |
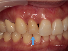
これまで、何回かホワイトニングをしたが右上の前歯1本のみが白くならず、周りの歯の明るさと違い目立つというお悩みで来院されました。
この歯は過去に神経の治療(根管治療)を受けた歯ということでした。神経の無くなった歯は時間が経つと色が暗くなる傾向があります。
また、神経の無い歯は通常のホワイトニングでは効果が出にくいため、ウォーキングブリーチ(歯の内部からのホワイトニング、漂白)をおこない歯の白さ(明度)を改善することにしました。
天然の歯の部分は白くなりますが詰め物の色は変わらないため、ウォーキングブリーチ後、ダイレクトボンディング法で詰め物を入れ替え色調を揃えました。
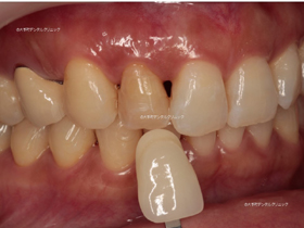
|
歯の色の確認 |
歯の裏からお薬を詰める |
■治療内容と結果 :変色歯にウォーキングブリーチ法によるホワイトニング(漂白)をおこない、周りの歯と同じ自然感のある白い歯となった。治療期間3ヶ月。
■主なリスクや副作用:治療中は一時的に歯が薄くなるため、硬いものは咬まないこと。白さを維持するために定期的なチェックとクリーニングは必須。また、個々の患者様の状態は異なるため、治療の結果も異なることをご了承くださいませ。
■費用:ウォーキングブリーチ(1本):20,000(税込22,000)
ダイレクトボンデイング :30,000(税込33,000)
©大手町、丸の内の歯医者(歯科) | 大手町デンタルクリニック 東京都千代田区大手町1丁目5-1大手町ファーストスクエアWEST1階
審美歯科治療 東京 | 矯正とホワイトニング後のセラミックスクラウン(上前歯):20歳代 女性
※患者様のご厚意でご紹介させて頂いております。
セラミックス#005
|
治療前 |
治療前(拡大) |
他院様で前歯にセラミックスクラウン(被せ物)を被せた(青矢印 2本)のですが、セカンドオピニオンで来院されました。左上2本のセラミックスクラウン(青矢印)の形が右の前歯と違うため左右同じ様(対称)にして欲しいとのご希望でした。
片側のみ(左のみor右のみ)の治療は左右両方治療する場合より難度が高く(左右両方治療した方が同じ形にできるため難度が低くなる)ため慎重に治療を行なう必要があります。
治療を始める前に審美性の障害となる問題点を抽出いたしました(左右の対称性の問題)。
【問題点】
①歯の長さの左右差がある(下の黒点線)。
②歯ぐきの位置の左右差がある(上の黒点線)。
③歯と歯のすき間がある(黒矢印)。
|
治療前 |
治療後 |
|
治療前(拡大) |
治療後(拡大) |
|
治療後(拡大 背景黒) |
|
歯ぐきの炎症があると型取り時の出血を誘発しクラウン(冠)の審美性が損なわれるため、先ず歯周病治療を行う必要があります。その後、スマイルラインを整えるため矯正治療を行いました。
今回はオプションでホワイトニングを行ない、その後オールセラミックスクラウンを製作しました。
■治療内容と結果:歯周病治療、矯正治療、ホワイトニング、オールセラミックスクラウンによる総合的な治療により、明るく自然感のある口元になった。
■主なリスクや副作用:歯ぐきの健康維持と矯正治療後の後戻りの防止のため、定期的なチェックとクリーニングは必須と考えられます。また、個々の患者様の状態は異なるため、治療の結果も異なることをご了承くださいませ。
■費用:スウェーデン式歯周病治療(軽度) : 80,000(税込 88,000)
矯正治療(小) :400,000(税込440,000)
ホワイトニング(ホーム) : 35,000(税込 38,500)
オールセラミックスクラウン(ハリウッド2本) :360,000(税込396,000)
©大手町、丸の内の歯医者(歯科) | 大手町デンタルクリニック 東京都千代田区大手町1丁目5-1大手町ファーストスクエアWEST1階
審美歯科治療 東京 | ホワイトニング後のセラミックスクラウン(上前歯):20歳代 女性
※患者様のご厚意でご紹介させて頂いております。
セラミックス#004
|
治療前 |
治療後 |
ホワイトニングにより全体の歯の白さをアップし、その後全体の色に合わせたオールセラミックスクラウンによる治療をおこないました。
治療前にホワイトニングをおこなっているため治療予定の歯以外は白さが増してます。
ホワイトニング後は白さがアップしているため、色合わせがより難しくなるため今回はより審美性の高いオールセラミックス(ハリウッド)を選択されました。
|
治療中 |
治療後 |
|
治療前(全体) |
治療後(全体) |
オールセラミックスクラウン(被せ物)は金属を一切使用しないため、歯の透明感が再現できる点や金属アレルギーの心配がない点で金属性の冠より優れています。
また、硬さも金属よりも硬いため耐摩耗性に優れ、吸水性も無いため色が変わることもありません。
■治療内容と結果 :ホワイトニングをおこないご希望の歯の白さになり、その色に合わせたオールセラミックスクラウンを制作し高い審美性が獲得できた。
■主なリスクや副作用:セラミックスの色は変わらないが天然の歯の色調は変化する可能性があるため、定期的なチェックとクリーニングは必須と考えられる。また、個々の患者様の状態は異なるため、治療の結果も異なることをご了承くださいませ。
■費用:オールセラミックスクラウン(ハリウッド):180,000(税込198,000)
©大手町の歯科 | 大手町デンタルクリニック 東京都千代田区大手町1丁目5-1大手町ファーストスクエアWEST1階
マウスピース矯正 東京 | (叢生、反対咬合):30歳代 女性
※患者様のご厚意でご紹介させて頂いております。
マウスピース矯正#004
|
治療前 |
治療後 |
30歳代女性の方で、審美性と咬み合わせの改善(叢生、一部反対咬合)で矯正治療をご希望された方です。
【治療前】
①上の前歯の中心線と下の歯の中心線に小さなズレがあった(黒線)。
②前歯のラインの隙間、反対に咬んでいる場所があった(点線)。
【治療後】
①歯並びとお顔の中心線を一致させることによりお顔の左右対称性が高まった(黒線)。
②上前歯の歯並びを上唇のライン(スマイルライン)と合わせることにより理想的なスマイルとなった(点線)。
対面でのお仕事が多いため、目立ちにくく、話しやすい、マウスピース矯正(インビザライン)を選択されました。
矯正治療中は虫歯や歯周病になるリスク因子が増えることを想定し、矯正治療の前に虫歯と歯周病の予防処置をおこない、その後マウスピース矯正を開始。
また、矯正治療後咬み合わせがお安定したことを確認後、奥歯の歯の根の治療をおこないオールセラミックスクラウンを被せ、さらに審美性と機能性の双方を高めました。
|
治療前(再掲) |
治療後(再掲) |
■治療内容と結果 :矯正治療により、審美性とかみ合わせの改善ができた。
■主なリスクや副作用:マウスピース装着時の飲食の制限がある。 虫歯や歯周病の発生の誘因となることがあるので矯正治療の開始前に虫歯の治療と予防処置、歯周病治療を終了させておく必要がある。また、歯根吸収が起こることがあり、矯正治療後は後戻りを防止するためのリテーナー(保定装置)の使用が必要。個々の患者様の状態は異なるため、治療の結果も異なることをご了承くださいませ。副作用はない。
■費用:マウスピース矯正 950,000(税込1,045,000)
©東京でマウスピース矯正なら | 大手町デンタルクリニック 東京都千代田区大手町1丁目5-1大手町ファーストスクエアWEST1階
マウスピース矯正 東京 | (叢生、そうせい):40歳代 男性
※患者様のご厚意でご紹介させて頂いております。
マウスピース矯正#003
|
治療前 |
治療後 |
40歳代男性の方で、審美性の改善(叢生、そうせいの改善)で矯正治療をご希望された方です。
お仕事で人とお話する機会が多いことより、目立ちにくく、話しやすい、マウスピース矯正(インビザライン)を選択されました。
矯正治療中は虫歯や歯周病になるリスク因子が増えることを想定し、矯正治療の前に虫歯と歯周病の予防処置をおこない、その後マウスピース矯正を開始しました。
|
治療前(上) |
治療後(上) |
|
治療前(下) |
治療後(下) |
■治療内容と結果 :矯正治療により、審美性とかみ合わせの改善ができた。
■主なリスクや副作用:マウスピース装着時の飲食の制限がある。 虫歯や歯周病の発生の誘因となることがあるので矯正治療の開始前に虫歯の治療と予防処置、歯周病治療を終了させておく必要がある。また、歯根吸収が起こることがあり、矯正治療後は後戻りを防止するためのリテーナー(保定装置)の使用が必要。個々の患者様の状態は異なるため、治療の結果も異なることをご了承くださいませ。副作用はない。
■費用:マウスピース矯正 950,000(税込1,045,000)
©東京でマウスピース矯正なら | 大手町デンタルクリニック 東京都千代田区大手町1丁目5-1大手町ファーストスクエアWEST1階
審美歯科治療 東京 | セラミックスクラウン(上前歯):30歳代 女性
※患者様のご厚意でご紹介させて頂いております。
セラミックス#003
|
治療前 |
治療後 |
クラウン(被せ物)の審美性の改善のためオールセラミックスクラウンによる治療をおこないました。
治療を始める前に審美性の障害となる問題点を抽出いたしました。
【問題点】
①歯ぐきの高さ(歯頚ライン)の左右の違い。
②歯の幅(幅径)の左右の違い。
③歯の長さの左右の違い。
④色調および表面性状(ティクスチャー)の左右の違い。
|
問題点の抽出 |
治療後 |
|
セット前 |
セット後(治療後) |
問題点の改善が出来たことを仮歯(プロビショナル)で確認した後、最終的な制作に移ります。
オールセラミックスクラウン(被せ物)は金属を一切使用しないため、歯の透明感が再現できる点や金属アレルギーの心配がない点で金属性の冠より優れています。
また、硬さも金属よりも硬いため耐摩耗性に優れ、吸水性も無いため色が変わることもありません。
■治療内容と結果 :オールセラミックスクラウンによる治療により、自然感と審美性の両立ができた。
■主なリスクや副作用:形を整える必要があるため、歯の切削は避けられない。セラミックスの色は変わらないが天然の歯の色調は変化する可能性があるため、定期的なチェックとクリーニングは必須と考えられる。また、個々の患者様の状態は異なるため、治療の結果も異なることをご了承くださいませ。
■費用:オールセラミックスクラウン(スタンダード):140,000(税込154,000)
©大手町、丸の内の歯医者(歯科) | 大手町デンタルクリニック 東京都千代田区大手町1丁目5-1大手町ファーストスクエアWEST1階
マウスピース矯正 東京 |(叢生、そうせい):20歳代 女性
※患者様のご厚意でご紹介させて頂いております。
インビザライン#002
|
治療前 |
治療後 |
20代女性で前歯の重なり(叢生、そうせい)の改善で矯正治療をご希望された方です。
矯正していることがわからないようにマウスピース矯正(インビザライン)で治療をご希望されました。
前歯の重なり具合が大きいケースでしたが、歯を抜かないで治療ができました。
■治療内容と結果 :矯正治療により、審美性とかみ合わせの改善ができた。
■主なリスクや副作用:マウスピース装着時の飲食の制限がある。 虫歯や歯周病の発生の誘因となることがあるので矯正治療の開始前に虫歯の治療と予防処置、歯周病治療を終了させておく必要がある。また、歯根吸収が起こることがあり、矯正治療後は後戻りを防止するためのリテーナー(保定装置)の使用が必要。個々の患者様の状態は異なるため、治療の結果も異なることをご了承くださいませ。副作用はない。
■費用:マウスピース矯正 950,000(税込1,045,000)
©東京でインビザライン矯正なら | 大手町デンタルクリニック 東京都千代田区大手町1丁目5-1大手町ファーストスクエアWEST1階
審美歯科治療 東京 | セラミックスクラウン(下奥歯):40歳代 女性
※患者様のご厚意でご紹介させて頂いております。
セラミックス#002
|
治療前 |
治療後 |
昔治療した歯の根の先に膿の袋ができ、お痛みが出たため当院で「歯の根の治療」と「クラウン(冠の被せもの)」の治療をおこないました。被せものは奥歯でも下の歯の場合はすべての歯が見えるため審美的なセラミックスクラウンをご希望されました。
治療前のクラウン(青矢印)の色が少し「白っぽい」感じがあったため、今回のクラウン(青矢印)は両隣の天然の歯の色調に合わせたオールセラミックスクラウンでおつくり致しました。
|
型どり時の状態 |
模型の製作時の状態 |
当院では「見た目」と共に「耐久性」が重要と考えております。そのためには
①クラウンと土台の歯との「境い目の隙間」から再び虫歯にならないようにすること(虫歯対策)。
②クラウンと土台の歯との「境い目の段差」が無いようにし、プラーク(歯垢)を取り除きやすくすること(歯周病対策)。
以上の2点が必須になり、クラウンと土台の歯の「適合(フィットの精度)」を極限まで高める必要があります。
そのため、今回は型どりの材料が細部まで行き渡るように、歯ぐきの境い目に糸(圧排糸、青矢印)をお入れして型どりをおこないました。
完成した模型の境い目(青矢印、ピンクの部分は歯ぐきの形を再現するための素材)が鮮明に確認できています。
「クラウンの精度=型取りの精度」になるため型どりは大変重要になります(他に個人トレー法、個歯トレー法、などの方法もあります)。
|
色合わせ時 |
セラミックスクラウン完成時 |
審美性を高めるため、色見本と一緒に写真をお撮りします。
※「丸い突起物」は取り外しのためのもの(最後には無くなります)。
|
オールセラミックスクラウンの内側 |
治療後 |
オールセラミックスクラウン(冠のかぶせもの)は金属を一切使用しないため、歯の透明感が再現できる点や金属アレルギーの心配がない点で金属性の冠より優れています。
また、硬さも金属よりも硬いため耐摩耗性に優れ、吸水性も無いため色が変わることもありません。
■治療内容と結果 :歯の根の治療をおこなうにあたり、被せもの(クラウン、冠)のつくり替えをおこなった。審美性がより天然歯に近づいたクラウンをお入れすることができた。
■主なリスクや副作用:過去ににおいても歯の根の治療をおこなっていることで歯の質が「薄く」なっているため、今後は破折(歯の根が割れる)に注意が必要である。また、硬い材質であるため咬みあわせる歯の状態やかみ合わせのバランスに配慮して製作する必要がある。また、個々の患者様の状態は異なるため、治療の結果も異なることをご了承くださいませ。
■費用:オールセラミックスクラウン(スタンダード):140,000(税込154,000)
©大手町、丸の内の歯医者(歯科) | 大手町デンタルクリニック 東京都千代田区大手町1丁目5-1大手町ファーストスクエアWEST1階
マウスピース矯正 東京 | (叢生、そうせい):30歳代 女性
※患者様のご厚意でご紹介させて頂いております。
インビザライン#001
|
治療前 |
治療後 |
前歯の重なり(叢生、そうせい)の改善で矯正治療をご希望された方です。
矯正装置が目立たないマウスピース矯正(インビザライン)で治療をおこないました。
シュミレーション上で歯を抜かずに治療が可能と判断ができたため非抜歯でおこなうことができました。
■治療内容と結果 :マウスピース矯正をおこない、審美性、かみ合わせ、共に改善できた。
■主なリスクや副作用:マウスピース装着時の飲食の制限がある。 虫歯や歯周病の発生の誘因となることがあるので矯正治療の開始前に虫歯の治療と予防処置、歯周病治療を終了させておく必要がある。また、歯根吸収が起こることがあり、矯正治療後は後戻りを防止するためのリテーナー(保定装置)の使用が必要。個々の患者様の状態は異なるため、治療の結果も異なることをご了承くださいませ。副作用はない。
■費用:マウスピース矯正:950,000(税込1,045,000)
©大手町、丸の内でマウスピース矯正(インビザライン)なら | 大手町デンタルクリニック 東京都千代田区大手町1丁目5-1大手町ファーストスクエアWEST1階
審美歯科治療 東京 | セラミックスクラウン(上前歯):30歳代 女性
※患者様のご厚意でご紹介させて頂いております。
セラミックス#001
|
オールセラミックスクラウン上の前歯(横から) |
オールセラミックスクラウン上の前歯(正面から) |
上の前歯(上顎中切歯、上の真ん中の歯)をぶつけ、折れてしまったため、新たにセラミックスクラウンをおつくりしました。
両隣の歯が天然の歯のため、天然の歯と見分けがつかないような自然感をオールセラミックスクラウン(ハリウッド)で表現。
以下、セラミックスを作製前におこなった治療の詳細になります。
①将来的に根の先に膿の袋ができないようにするために「歯の根の治療を」おこないました。
②歯ぐきの健康回復と将来的に歯周病が進まないようにするため「歯周病の治療」をおこないました。
③型どりは現在一番精度が高い「シリコン印象」でおこないました。
④研鑽を積んだテクニシャンが作製。
|
オールセラミックスクラウン上の前歯 |
模型はエポキシ樹脂で制作 |
一般的に、歯の被せものを作る場合の模型(もけい)は、通常は「石膏(せっこう)」を使用しますが、精度をより高めるため「エポキシ樹脂」を使用。
©大手町、丸の内の歯科なら | 大手町デンタルクリニック 東京都千代田区大手町1丁目5-1大手町ファーストスクエアWEST1階

当院は健康保健取り扱い医療機関でございます。虫歯や歯周病(歯槽膿漏)の治療を基本に、予防治療、ホワイトニング、審美治療、矯正治療、インプラント、口腔外科、再生療法もおこない「一般的な歯医者の治療~専門的な歯科治療」まで幅広い対応ができる体制をとっております。地下鉄大手町駅直結、JR東京駅、丸の内エリアからもアクセス便利な立地の歯科医院でございます。東京駅丸の内北口から徒歩4分、丸の内エリアに隣接する歯医者です(丸の内永楽ビル様より徒歩30秒、丸の内センタービル様、新丸の内センタービル様、日本生命丸の内ガーデンタワー様より徒歩2分、新丸の内ビル様より徒歩3分、丸の内北口ビル様、日本生命丸の内ビル様より徒歩4分)。日本歯科大学東京短期大学院外研修施設。















































